Search Dental Tribune

Curasept Biosmalto în stomatologia pediatrică: o abordare clinică a MIH și a îngrijirii ortodontice

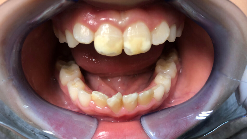
Mousse-ul Curasept Biosmalto asigură o remineralizare rapidă chiar și în zonele sever afectate ale smalțului și dentinei, contribuind astfel la obținerea unor rezultate bune și de durată în tratamentele ortodontice. (Fotografii: Curasept)
Curasept

Curasept

Ma. 27 mai 2025

salvază

Hipomineralizarea molarilor-incisivilor – sindromul de hipomineralizare molar-incisiv (MIH) – este recunoscută tot mai frecvent ca o provocare semnificativă în stomatologia pediatrică. Afectând copiii la nivel global, MIH se manifestă prin defecte ale smalțului la primii molari permanenți și la incisivi, cu o prevalență globală estimată între 10% și 20%.

Într-un studiu transversal realizat de Ciocan et al. într-o școală primară și gimnazială din București, România, au fost examinați 266 de copii cu vârste între 8 și 11 ani în timpul controalelor stomatologice de rutină. Studiul a identificat o prevalență a MIH de 14,3% în rândul participanților. Aceste constatări subliniază importanța unei atenții sporite asupra acestor zone în cadrul îngrijirii stomatologice de rutină la copii.¹

Din punct de vedere clinic, MIH reprezintă o problemă complexă. Copiii afectați pot prezenta opacități ale smalțului, distrugerea smalțului post-erupție, hipersensibilitate dentinară și un risc crescut de carii dentare. Aceste simptome pot afecta funcționalitatea orală și calitatea vieții. În ortodonție, MIH complică tratamentul: smalțul fragil crește riscul de dezlipire a bracketurilor, iar molarii sever compromiși pot necesita extracții, ceea ce poate întârzia sau modifica planurile de tratament ortodontic. Având în vedere faptul că evaluările ortodontice precoce coincid adesea cu erupția primilor molari permanenți, ortodonții sunt frecvent primii care identifică MIH, fiind astfel în prima linie a gestionării acestei afecțiuni.

Curasept Biosmalto: o soluție biomimetică

Pentru a face față acestor provocări, sunt necesare instrumente eficiente de prevenție și tratament. Curasept Biosmalto oferă o abordare țintită pentru întărirea smalțului, fiind potrivit pentru dinții afectați de MIH. Acest produs inovator este formulat cu un amestec de hidroxiapatite biomimetice substituite: fluorohidroxiapatită și hidroxiapatită parțial substituită cu magneziu, stronțiu și carbonat, conjugată cu chitosan – ingrediente biomimetice care imită structura fizico-chimică a smalțului și dentinei naturale.

Mousse-ul Curasept Biosmalto prezintă complexul avansat F-ACP, o formulă de nanoparticule bioinspirată, compusă din fosfat de calciu amorf îmbogățit cu carbonat, fluor și acoperit cu citrat.

Acești compuși activi acționează sinergic pentru a promova remineralizarea, facilitând depunerea de material cristalin nou care se integrează perfect cu structura existentă a smalțului și dentinei. Curasept Biosmalto îmbunătățește în special rezistența smalțului la atacurile acide și contribuie la restabilirea echilibrului mineral în zonele hipomineralizate. Acest lucru îl face ideal pentru leziunile în stadii incipiente și pentru smalțul structural compromis, caracteristic MIH.

Aplicare flexibilă pentru utilizare zilnică

Curasept Biosmalto este disponibil în trei formate practice: pastă de dinți, apă de gură și mousse. Fiecare produs poate fi integrat cu ușurință în rutina zilnică de igienă orală la domiciliu. Mousse-ul oferă o flexibilitate suplimentară, putând fi aplicat cu ajutorul unei gutiere sau al unei periuțe, atât în cabinetul stomatologic, cât și acasă, conform indicațiilor medicului.

Pentru copiii aflați în tratament ortodontic, mousse-ul poate fi aplicat în timpul vizitelor de control, creând un ciclu de îngrijire preventivă care întărește smalțul și susține retenția bracketurilor. Ușurința integrării în protocoalele existente asigură complianța și îmbunătățește rezultatele tratamentului.

Complexul F-ACP: impact clinic în ortodonție

Curasept Biosmalto Mousse conține complexul avansat F-ACP, o formulare bioinspirată pe bază de nanoparticule de fosfat de calciu amorf, îmbogățit cu carbonat, fluor și acoperit cu citrat. Această compoziție imită structura smalțului și dentinei naturale, oferind remineralizare țintită, stabilizare a pH-ului și o biodisponibilitate minerală crescută.

Într-un studiu clinic randomizat desfășurat la Spitalul de Copii Bambino Gesù din Roma, mousse-ul a demonstrat o eficacitate semnificativă în reducerea leziunilor de demineralizare (white spot lesions) după tratamentul ortodontic.² După șase luni, 46% dintre pacienții care au utilizat mousse-ul au prezentat o îmbunătățire a indexului ICDAS, comparativ cu doar 29,7% în grupul de control – subliniind astfel rolul său ca soluție fiabilă pentru repararea smalțului și prevenirea cariilor în îngrijirea ortodontică.

Fig. 1a–f. Fotografii intraorale digitale obținute de la un pacient din grupul de studiu la momentul inițial T0 (a, b, c) și la T2 după 6 luni (d, e, f). Aplicarea complexului F-ACP a demonstrat o reducere semnificativă a vizibilității leziunilor între T0 și T2. După 6 luni, practic nu mai sunt vizibile leziuni de tip WSL după uscarea cu aer timp de 5 secunde.2

Fig. 1a–f. Fotografii intraorale digitale obținute de la un pacient din grupul de studiu la momentul inițial T0 (a, b, c) și la T2 după 6 luni (d, e, f). Aplicarea complexului F-ACP a demonstrat o reducere semnificativă a vizibilității leziunilor între T0 și T2. După 6 luni, practic nu mai sunt vizibile leziuni de tip WSL după uscarea cu aer timp de 5 secunde.2

MIH este în continuă creștere ca prevalență și reprezintă o preocupare tot mai mare în stomatologia pediatrică și ortodontică. Totuși, printr-un diagnostic precoce și utilizarea unor soluții biomimetice precum Curasept Biosmalto, clinicienii pot oferi strategii de îngrijire predictibile și preventive. Ușor de aplicat, susținut științific și compatibil cu protocoalele atât de acasă, cât și din cabinet, Curasept Biosmalto este un instrument esențial în gestionarea modernă a MIH. Pentru ortodonți, în special, integrarea produselor de întărire a smalțului în îngrijirea de rutină poate proteja rezultatele tratamentului și poate îmbunătăți sănătatea orală pe termen lung a pacienților tineri.

Un eșantion din gama Curasept Biosmalto poate fi comandat de aici. Utilizați codul BIOSMALTO la checkout.

Notă editorială:

Referințe

  1. Ciocan B, Săndulescu M, Luca R. Real-world evidence on the prevalence of molar incisor hypomineralization in school children from Bucharest, Romania. 2023 Sep;10(9):1563. doi: 10.3390/children10091563.
  2. Ciribè M, Cirillo E, Mammone M, Vallogini G, Festa P, Piga S, Ferrazzano GF, Galeotti A. Efficacy of F-ACP-containing dental mousse in the remineralization of white spot lesions after fixed orthodontic therapy: a randomized clinical trial. Biomedicines. 2024 Jun;12(6):1202. doi: 10.3390/biomedicines12061202.
Etichete:
To post a reply please login or register
advertisement
advertisement